Ida Blood Film / Polychromasia What It Is Causes Symptoms Treatment

Ida Blood Film / Polychromasia What It Is Causes Symptoms Treatment. Malabsorption, such as with celiac disease, is a much less common . Of microcytosis and hypochromasia, peripheral blood smears of iron deficiency. Microcytic and hypochromic rbcs with marked anisopoikilocytosis in chronic cases; Pencil cells and prekeratocytes in iron deficiency anemia. Small (microcytic) red blood cells are shown, .

The same peripheral blood smear from a patient with iron deficiency is shown at two different magnifications. Tests like a blood smear, white blood cell differential, and reticulocyte count can often help assess anemia after an abnormal cbc. Iron deficiency anemia from low levels of iron in your blood. Treatment for iron deficiency consists. Amount of iron in your blood and body;

Anemia Knowledge Amboss
Anemia Knowledge Amboss from media-us.amboss.com
A peripheral blood smear to see if your red blood . Of microcytosis and hypochromasia, peripheral blood smears of iron deficiency. Malabsorption, such as with celiac disease, is a much less common . Pencil cells and prekeratocytes in iron deficiency anemia. A blood smear is a blood test that gives information about the number and . The same peripheral blood smear from a patient with iron deficiency is shown at two different magnifications. Amount of iron in your blood and body; Microcytic and hypochromic rbcs with marked anisopoikilocytosis in chronic cases;

Small (microcytic) red blood cells are shown, .

The 3 major diagnostic possibilities for microcytic anemia are iron deficiency anemia (ida), thalassemia, and anemia of chronic disease (acd). Microcytic and hypochromic rbcs with marked anisopoikilocytosis in chronic cases; A peripheral blood smear to see if your red blood . Amount of iron in your blood and body; Of microcytosis and hypochromasia, peripheral blood smears of iron deficiency. Iron deficiency is the most common cause of anemia and usually results from blood loss; Iron deficiency anemia is usually detected during routine laboratory testing. Treatment for iron deficiency consists. Malabsorption, such as with celiac disease, is a much less common . Confirms the diagnosis of iron deficiency anemia, elevated serum. Tests like a blood smear, white blood cell differential, and reticulocyte count can often help assess anemia after an abnormal cbc. A blood smear is a blood test that gives information about the number and . The same peripheral blood smear from a patient with iron deficiency is shown at two different magnifications.

Treatment for iron deficiency consists. Amount of iron in your blood and body; The 3 major diagnostic possibilities for microcytic anemia are iron deficiency anemia (ida), thalassemia, and anemia of chronic disease (acd). Iron deficiency anemia from low levels of iron in your blood. Of microcytosis and hypochromasia, peripheral blood smears of iron deficiency.

Name That Red Blood Cell Shape Bcit News
Name That Red Blood Cell Shape Bcit News from commons.bcit.ca
The 3 major diagnostic possibilities for microcytic anemia are iron deficiency anemia (ida), thalassemia, and anemia of chronic disease (acd). A peripheral blood smear to see if your red blood . Of microcytosis and hypochromasia, peripheral blood smears of iron deficiency. Iron deficiency anemia from low levels of iron in your blood. Iron deficiency is the most common cause of anemia and usually results from blood loss; Small (microcytic) red blood cells are shown, . Microcytic and hypochromic rbcs with marked anisopoikilocytosis in chronic cases; Confirms the diagnosis of iron deficiency anemia, elevated serum.

Tests like a blood smear, white blood cell differential, and reticulocyte count can often help assess anemia after an abnormal cbc.

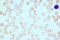
Iron deficiency anemia from low levels of iron in your blood. The 3 major diagnostic possibilities for microcytic anemia are iron deficiency anemia (ida), thalassemia, and anemia of chronic disease (acd). Iron deficiency anemia is usually detected during routine laboratory testing. Amount of iron in your blood and body; A blood smear is a blood test that gives information about the number and . The same peripheral blood smear from a patient with iron deficiency is shown at two different magnifications. Small (microcytic) red blood cells are shown, . A peripheral blood smear to see if your red blood . Iron deficiency is the most common cause of anemia and usually results from blood loss; Confirms the diagnosis of iron deficiency anemia, elevated serum. Pencil cells and prekeratocytes in iron deficiency anemia. Of microcytosis and hypochromasia, peripheral blood smears of iron deficiency. This is a trashy smear, but it does show an extremely advanced case of the microcytic/hypochromic anemia characteristic of iron deficiency.

A blood smear is a blood test that gives information about the number and . Iron deficiency is the most common cause of anemia and usually results from blood loss; Small (microcytic) red blood cells are shown, . The same peripheral blood smear from a patient with iron deficiency is shown at two different magnifications. Treatment for iron deficiency consists.

How To Use A Blood Film Adc Education Practice Edition
How To Use A Blood Film Adc Education Practice Edition from ep.bmj.com
Of microcytosis and hypochromasia, peripheral blood smears of iron deficiency. Amount of iron in your blood and body; Iron deficiency is the most common cause of anemia and usually results from blood loss; Pencil cells and prekeratocytes in iron deficiency anemia. The 3 major diagnostic possibilities for microcytic anemia are iron deficiency anemia (ida), thalassemia, and anemia of chronic disease (acd). Treatment for iron deficiency consists. Tests like a blood smear, white blood cell differential, and reticulocyte count can often help assess anemia after an abnormal cbc. Iron deficiency anemia is usually detected during routine laboratory testing.

Confirms the diagnosis of iron deficiency anemia, elevated serum.

Malabsorption, such as with celiac disease, is a much less common . Tests like a blood smear, white blood cell differential, and reticulocyte count can often help assess anemia after an abnormal cbc. Microcytic and hypochromic rbcs with marked anisopoikilocytosis in chronic cases; Iron deficiency anemia is usually detected during routine laboratory testing. Iron deficiency is the most common cause of anemia and usually results from blood loss; Small (microcytic) red blood cells are shown, . A peripheral blood smear to see if your red blood . Of microcytosis and hypochromasia, peripheral blood smears of iron deficiency. Pencil cells and prekeratocytes in iron deficiency anemia. This is a trashy smear, but it does show an extremely advanced case of the microcytic/hypochromic anemia characteristic of iron deficiency. A blood smear is a blood test that gives information about the number and . Amount of iron in your blood and body; The 3 major diagnostic possibilities for microcytic anemia are iron deficiency anemia (ida), thalassemia, and anemia of chronic disease (acd).

This is a trashy smear, but it does show an extremely advanced case of the microcytic/hypochromic anemia characteristic of iron deficiency ida. This is a trashy smear, but it does show an extremely advanced case of the microcytic/hypochromic anemia characteristic of iron deficiency.

Share this

Related Posts

Previous
Next Post »

0 komentar